The largest study of its kind finds that a history of frequent dental x-rays, particularly at a young age, is tied to an increased risk of developing meningioma, the most common type of primary brain tumor in the United States.
Dr Elizabeth Claus, a neurosurgeon at Brigham and Women's Hospital (BWH), in Boston, and the School of Medicine at Yale University in New Haven, and colleagues, write about their findings in a paper due to be published in the journal Cancer on 10 April.
Claus said in a statement:
"This research suggests that although dental x-rays are an important tool in maintaining good oral health, efforts to moderate exposure to this form of imaging may be of benefit to some patients."
Meningiomas arise in the "meninges", or the lining of the brain, and account for around 33% of all primary brain tumors in the United States. Primary refers to the part of the body where the cancer starts.
The most consistently identified environmental risk factor for this type of cancer is exposure to ionizing radiation; and for Americans, the most common way to encounter this exposure is having dental x-rays.
Claus and colleagues are careful to point out that their conclusions do not refer to x-rays undertaken today:
"It is important to note that the dental x-rays performed today use a much lower dose of radiation than in the past," said Claus.
For their study, Claus and colleagues examined records on 1,433 patients who were aged between 20 and 79 when they received a diagnosis of meningioma during the period May 2006 and April 2011. They compared their data to a group of 1,350 matched controls.
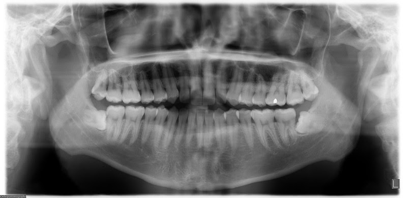
The results showed that compared to the controls, participants with meningioma were more likely to have undergone a type of dental x-ray known as a bitewing exam. This type of exam shows the crowns of the lower and upper teeth at the same time.
Those participants who reported having such an exam annually or more frequently, were 1.4 to 1.9 times more likely to develop a meningioma compared to controls.
The risk of developing meningioma was even higher among participants who reported having a panorex dental x-ray: having this exam yearly or more frequently raised the risk by nearly 3 times, and having it while under the age of 10 by 4.9 times, compared to controls. A panorex exam is one that shows the upper and lower jaws as well as teeth, in the same film.
In their background information, Claus and colleagues draw attention to an American Dental Association's statement that urges dentists to make sure they weigh up the risks versus the benefits when doing dental x-rays, and how they point out there is scant evidence to support scheduling regular x-rays in healthy patients.
Funds from the National Institutes of Health, the Brain Science Foundation and the Meningioma Mommas helped pay for the study.
Register here For more information & diplomas
Contacts: 9 abbas el-akkad street, nassr city, Cairo, Egypt
Tel: (+202) 24010655
Cell phone: (+2) 01143050023
Call phone: (+2) 01024212175
E-mail: info@spc-eg.com

ليست هناك تعليقات:
إرسال تعليق